რა უნდა ვიცოდეთ თავის ტვინის სიმსივნეებზე - ინტერვიუ წამყვან ნეიროქირურგ არჩილ ერისთავთან
დღეს არაერთი მეცნიერი ცდილობს დაადგინოს სიმსივნის წარმოშობის მიზეზები, შეიმუშვოს მისი პრევენციისა და მკურნალობის საუკეთსო გზები.
წინამდებარე სტატიაში საქართველოში მოღვაწე წამყვანი ნეიროქირურგი - არჩილ ერისთავი - გაგვიზიარებს დეტალურ ინფორმაციას თავის ტვინის სიმსივნის შესახებ, რა არის, როგორია მისი სიმპტომები, როგორ ხდება მისი დიაგნოსტირება და რა მკურნალობის გზები არსებობს.
ნეიროქირურგი არჩილ ერისთავი 22 წლიანი პრაქტიკის განმავლობაში მოღვაწეობდა სხვადასხვა ქვეყანაში, მათ შორის, 9 წელი დიდ ბრიტანეთში, ლონდონში. მისი სპეციალიზაცია მოიცავს თავის ტვინის, ზურგის ტვინის, ხერხემლის და პერიფერიული ნერვული სისტემის მკურნალობას, როგორიც არის ცენტრალური ნერვული სისტემის ონკოლოგია, სისხლძარღვოვანი პათოლოგიები, ხერხემლის დეგენერაციული და პერიფერიული ნერვული სისტემის სხვა დაზიანებები.
მას ჩატარებული აქვს 1500-ზე მეტი ოპერაცია. მათ შორის, 2021 წლის მაისს მან საქართველოში ჩაატარა თავის ტვინის ოპერაცია გაღვიძებულ პაციენტზე (ცნობიერი კრანიოტომია).
ბატონო არჩილ, მადლობა, რომ დაგვთანხმდით ინტერვიუზე. მოდით დავიწყოთ ზოგადი ინფორმაციით - რა არის ტვინის სიმსივნე და რა უნდა იცოდეს ჩვენმა მკითხველმა მის შესახებ?
- გამარჯობა, მადლობა საკითხით დაინტერესებისთვის და ჩემი მოწვევისთვის. ვეცდები, ინტერივუს განმავლობაში, მარტივი ენით მივაწოდო მკითხველს ინფორამცია თავის ტვინის სიმსივნეებზე და დამატებითი კითხვების შემთხვევაში, მზად ვარ ვუპასუხო დაინტერესებულ პირებს. .
თავის ტვინის სიმსივნე ჩნდება, როდესაც ტვინის გარკვეული უჯრედები განიცდიან გადაგვარებას და იწყებენ გამრავლებას უკონტროლო გზით. ამ პროცესის დაწყების მიზეზი დღემდე უცნობია.
ტვინის სიმსივნეები იყოფა ხარისხების (1-4) და თვისებების მიხედვით. პირველი და მეორე ხარისხის სიმსივნეები მიეკუთვნება კეთილთვისებიან ჯგუფს, ხოლო მესამე და მეოთხე - ავთვისებიანს.
რა სიმპტომები ახასიათებს ტვინის სიმსივნეს? რას უნდა მიექცეს ყურადღება? ტვინის სიმსივნით გამოწვეული სიმპტომები დამოკიდებულია მის ლოკაციაზე ტვინში.
ყველაზე ხშირად პაციენტს ახასიათებს თავის ტკივილი, გულყრა, გულისრევა, პირღებინება, პროგრესიული სისუსტე სხეულის ერთ მხარეს. ასევე, მეხსიერების, მეტყველების ან/და მხედველობის დარღვევა.
ვის შეიძლება დაუდგინდეს ტვინის სიმსივნის დიაგნოზი? ვინ არის განსაკუთრებული რისკის ქვეშ? პირველადი ტვინის სიმსივნით დიაგნოზირება ხდება მოსახლეობის დაახლოებით 0.015%-ში, დანარჩენი კი არის მეორადი ხასიათის. თავის ტვინის სიმსივნის განვითარება შეიძლება მოხდეს ყველა ასაკობრივ ჯგუფში, მაგრამ სიმსივნის წარმოქმნის რისკი იზრდება ასაკთან ერთად.
არის თუ არა ცნობილი, რა იწვევს თავის ტვინის სიმსივნეს? ბოლომდე დადგენილი არ არის კონკრეტულად რა იწვევს თავის ტვინის სიმსივნეს, მაგრამ ცნობილია ესა თუ ის რისკ ფაქტორები რომლებზეც შეგვიძლია ვისაუბროთ. ტვინის სიმსივნის განვითარების რისკ ფაქტორებში შედის დასხივება (რადიაცია), გარკვეული გენეტიური მემკვიდრეობა/მუტაცია, როგორიც არის ნეირიფიბრომატოზის პირველი ან მეორე ტიპი, ტუბეროზული სკლეროზი, ლი ფრაუმენის სინდრომი, ფონ ჰიპერ-ლინდაუს სინდრომი, ტერნერის სინდრომი, ტარკოტის სინდრომი, გორლინის სინდრომი. ასევე 2015 წელს ჩატარებული მეტა კვლევის დროს აღმონჩნდა კავშირი ჭარბწონიანობასა და გარკვეული ტიპის ტვინის სიმსივნის (მენინგიომის) განვითარებას შორის.
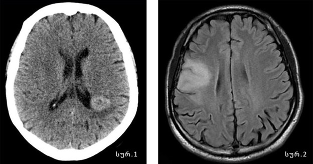
თუ შეგიძლიათ, რომ გაგვიზიაროთ, როგორ ხდება თავის ტვინის სიმსივნის დიაგნოზის დასმა?ტვინის სიმსივნის განვითარებისას, დროული/ადრეული დიაგნოზი ხშირ შემთხვევაში საგრძნობლად ეხმარება მკურნალობის პროცესს და წარმატებულ გამოსავალს. ტვინის სიმსივნის დიაგნოზირება, როგორც წესი, ხდება კომპიუტერული (სურ. 1) ან მაგნიტურ რეზონანსული (სურ. 2) ტომოგრაფიის (მრტ) გამოყენებით. ასევე ექიმმა შეიძლება ჩაატაროს დამატებითი გამოკვლევები/ტესტები, რომ გამორიცხოს ან დაადასტუროს ესა თუ ის დიაგნოზი.

როგორ ხდება თავის ტვინის სიმსივნის მკურნალბა? რა პროცესი უნდა გაიაროს პაციენტმა? ზოგადად, მკურნალობა დამოკიდებულია ტვინის სიმსივნის ტიპზე, ლოკაციაზე, პაციენტის ასაკზე და სხვა ფაქტორებზე.
ტვინის სიმსივნის მკურნალობა ხშირად გულისხმობს ქვემოთ ჩამოთვლილიდან ერთერთს ან რამდენიმეს კომბინირებულ გამოყენებას:
● სიმპტომური მკურნალობა,
● ჰორმონალური თერაპია,
● ქირურგია,
● დასხივება,
● ქიმიოთერაპია.
მკურნალობის მეთოდი და მიდგომა განისაზღვრება ნეიროქირურგის ან/და ონკოლოგის მიერ პაციენტის ანამდნეზის გაცნობის და კვლევებისგან მიღებული შედეგბის საფუძველზე.
როგორც წამყვანი ნეიროქირურგი სპეციალიზირებული თავის ტვინის სიმსივნეების ოპერაციებში, რა არის მთავარი გამოწვევები და სირთულეები რასაც აწყდებით საქმიანობისას? მთავარი გამოწვევა პაციენტებსა და საზოგადოებაში გავრცელებული აზრია, რომ თავის ტვინის სიმსივნე, განაჩენია.
დღევანდელი სამედიცინო მიღწევები საშუალებას იძლევა მოხდეს პაციენტის წარმატებული მკურნალობა.
და ბოლოს, თქვენი გამოცდილებით, რა იქნება თქვენი რეკომენდაცია მათთვის, ვისაც გამოხატული აქვს ზემოთ ჩამოთვლილი სიმტპომები? თავის ტვინის სიმსივნის ეფექტური მკურნალობისთვის ძალიან მნიშვნელოვანია, რომ სიმპტომების გამოვლენისთანავე პაციენტმა მიმართოს ექიმს და ჩაიტაროს საჭირო გამოკვლევები. როგორც ვახსენე, სიმსივნის ადრეულ ეტაპზე გამოვლენა ეხმარება მკურნალობის პროცესს და წარმატებულ შედეგს.
ნეიქორიქურგ არჩილ ერისთავის საკონტაქტო ინფორმაცია
ტელ: +995 599820404
ელ.ფოსტა: contact@neurosurgeon.ge
NS