არჩილ ერისთავი, ბრიტანეთში მოღვაწე ქართველი ნეიროქირურგი, თავის ტვინის ანევრიზმის შესახებ
არჩილ ერისთავი 10 წლის განმავლობაში დიდ ბრიტანეთში, კერძოდ კი ლონდონში მოღვაწეობდა. სულ ცოტა ხნის წინ გადაწყვიტა თავისი ცოდნა და გამოცდილება საქართველოში გამოეყენებინა და რამდენიმე თვიწ წინ ამერიკული ჰოსპიტალის გუნდს შეუერთდა.
მისი 22 წლიანი პრაქტიკა თავის ტვინის ანევრიზმებთან დაკავშირებულ არაერთ საინტერესო შემთხვევას მოიცავს. სწორედ ამიტომ, დღეს ამ თემის გარშემო ვისაუბრებთ და ვეცდებით ჩვენს მკითხველს ამომწურავი ინფორამცია გავუზიაროთ თავის ტვინის ანევრიზმების შესახებ.
რა არის თავის ტვინის ანევრიზმა?
თავის ტვინის ანევრიზმა არის სისხლძარღვის კედლის ამობურცვა, რომელიც გამოწვეულია სისხლძარღვის კედლის სისუსტით, ყველაზე ხშირად მისი განშტოების ადგილას. თავის ქალის შიგნით არსებული ანევრიზმის სამედიცინო ტერმინი არის ინტრაკრანიალური ან ცერებრული ანევრიზმა.
ანევრიზმა ვითარდება, როდესაც არტერიული წნევა აწვება დასუსტებული სისხლძარღვის კედელს, დროთა განმავლობაში იწვევს პატარა უბნის ამობურცვას და ბუშტის მსგავსად გაზრდას.
თავის ტვინის ანევრიზმების უმეტესობა არ სკდება და არ იწვევს რაიმე სიმპტომს ან ჯანმრთელობის გაუარესებას. გასკდომის შემთხვევაში კი ხდება სისხლჩაქცევა, რომელიც ცნობილია როგორც ჰემორაგიული ინსულტი. ყველაზე ხშირად, ტვინის ანევრიზმით გამოწვეულ სისხლჩაქცევა ხდება თავის ტვინსა და ტვინის თხელ გარსს შორის, რომელსაც ეწოდება არაქნოიდული გარსი. ამ ტიპის ჰემორაგიულ ინსულტს ეწოდება სუბარაქნოიდული სისხლჩაქცევა.
ცერებრული ანევრიზმა საკმაოდ გავრცელებულია. ზოგიერთი ექსპერტის გამოთვლით, დაახლოებით 20 -დან 1 ადამიანს აქვს ეს პათოლოგია, ზოგი კი ფიქრობს, რომ ეს რიცხვი უფრო დაბალია და გვხვდება მოსახლეობის 1 პროცენტში.
თავის ტვინის ანევრიზმების რიცხვი, რომლებიც სკდება, გაცილებით მცირეა და ყოველწლიურად, საშუალოდ, 15000-დან 1 ადამიანს ემართება.
არსებობს ანევრიზმის რამდენიმე ტიპი:
ტომრისებული ანევრიზმა - ეს არის ყველაზე გავრცელებული ტიპის ანევრიზმა.
ფუზიფორმული ანევრიზმა - ამ ტიპის ანევრიზმა იწვევს არტერიის გარკვეული სეგმენტის ყველა მიმართულებით ამობურცვას.
მიკოზური ანევრიზმა - ამ ტიპის ანევრიზმა გამოწვეულია ინფექციით, რომელიც გავლენას ახდენს თავის ტვინის არტერიებზე, ამან შეიძლება შეასუსტოს არტერიის კედელი და ხელი შეუწყოს ანევრიზმის წარმოქმნას.
რა არის ჩვეული სიმპტომები თავის ტვინის ანევრიზმის გასკდომის დროს?
თავის ტვინის ანევრიზმის გასკდომისას, შესაძლოა ადგილი ჰქონდეს შემდეგ სიმტპომებს: უეცარი, მძაფრი თავის ტკივილი, თავში მოულოდნელი დარტყმის მსგავსი, კისრის დაჭიმულობა, გულისრევა და პირღებინება, სინათლის მიმართ მგრძნობელობა (ფოტოფობია), კრუნჩხვა, გონების დაკარგვა და დაბნეულობა.

რა იწვევს თავის ტვინის ანევრიზმას?
მიუხედავად იმისა, რომ სისხლძარღვების კედლების შესუსტების ზუსტი მიზეზები ჯერ კიდევ გაურკვეველია, გამოვლენილია გარკვეული რისკ-ფაქტორები:
● მოწევა
● მაღალი არტერიული წნევა
● თავის ტვინის ანევრიზმის ოჯახური ისტორია
როგორ ხდება თავის ტვინის ანევრიზმის დიაგნოზის დადგენა?
ხშირ შემთხვევაში, თავის ტვინის ანევრიზმის გამოვლენა ხდება სხვა პათოლოგიის გამო ჩატარებული კვლევის დროს (შემთხვევითი აღმოჩენა). თავის ტვინის ანევრიზმების უმეტესობა არ არის საშიში, განსაკუთრებით თუ ისინი მცირე ზომისაა და არ არის გამსკდარი. თუმცა, დიდმა გაუმსკდარმა ანევრიზმამ შეიძლება გამოიწვიოს სხვადასხვა სიმპტომი, რადგან შესაძლოა აწვებოდეს ტვინის ქსოვილს და/ან ინტრაკრანიალურ ნერვებს. არის შემთხვევები, როდესაც გაუმსკდარი ანევრიზმის პრევენციული მკურნალობაა საჭიროა, რათა თავიდან იყოს აცილებული მისი გასკდომა მომავალში. ეს ეხება იმ ანევრიზმებს, რომლებიც თავისი მაჩვენებლებით გასკდომის, შედარებით მაღალი რისკის კატეგორიას მიეკუთვნებიან.
გაუმსკდარი ანევრიზმისგან განსხვავებით, გამსკდარი ანევრიზმა სწრაფად იქცევა სიცოცხლისთვის საშიშ გადაუდებელ მდგომარეობად და საჭიროებს სასწრაფო სამედიცინო ჩარევას.
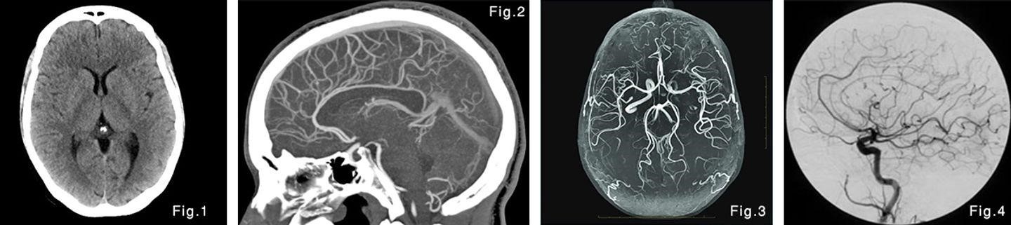
კომპიუტერული ტომოგრაფია (კტ) არის, როგორც წესი პირველი კვლევა, რომელიც გამოიყენება ტვინში სისხლდენის დასადგენად (სურ 1).
კტ-ანგიოგრაფიას მეშვეობით შესაძლებელია სისხლძარღვების დეტალური სურათის ნახვა და ანევრიზმის არსებობის შემთხვევაში მისი ლოკაციის, ზომის და ფორმის შეფასება (სურ 2).
მაგნიტურ-რეზონანსულ ტომოგრაფია (მრტ) ასევე აჩვენებს, არის თუ არა სისხლდენა თავის ტვინში. მრტ-ს ტიპი, რომელიც დეტალურად იკვლევს სისხლძარღვებს, ეწოდება მრ-ანგიოგრაფია (ნახ 3). ამ კვლევასაც, უმეტეს შემთხვევაში შეუძლია გამოავლინოს ანევრიზმის არსებობა, მისი ზომა და ფორმა.
ლუმბალური პუნქცია ზოგჯერ გამოიყენება, თუ არის ანევრიზმის გახეთქვის სიმპტომები, მაგრამ კომპიუტერული ტომოგრაფია არ აჩვენებს სისხლჩაქცევას.
ციფრული სუბტრაქციული ანგიოგრაფია იძლევა თავის ტვინის სისხლძარღვების ყველაზე დეტალურ სურათს (სურ. 4). პროცედურა გულისხმობს კათეტერის შეყვანას საზარდულის არტერიიდან თავის ტვინის სისხლძარღვებში და შემდეგ სპეციალური სარენტგენო კონტრასტის შეყვანას.

თავის ტვინის ანევრიზმის მკურნალობა
ანევრიზმის ქირურგიული მკურნალობა როგორც წესი საჭიროა მისი გასკდომის, ან ანევრიზმის გასკდომის მაღალი რისკის არსებობის შემთხვევაში. არსებობს ქირურგიული მკურნალობის მთავარი ორი მეთოდი.
კლიპირება
კლიპირება არის ანევრიზმის დახურვის პროცედურა, როდესაც კრანიოტომიის შემდეგ, ნეიროქირურგი გამოყოფს სისხლძარღვს რომელის კედელზეც არის ანევრიზმა, ანევრიზმის ვიზუალიზაციის შემდეგ ხდება მასზე სპეციალური კლიფსის დადება, რომ შეწყდეს ანევრიზმაში სისხლის მიმოქცევა.
ენდოვასკულური მკურნალობა
ეს ნაკლებად ინვაზიური პროცედურაა ვიდრე კლიპირება. ენდოვასკულური მკურნალობა გულისხმობს კათეტერით საზარდულის არტერიიდან შესვლას ტვინის იმ არტერიაში რომელზეც არის ანევრიზმა. ამის შემდეგ ანევრიზმაში შეიძლება განთავსდეს სპეციალური სპირალები ან სტენტი, რომ ანევრიზმა გამოირთოს სისხლის მიმოქცევის სისტემიდან.
ანევრიზმის პრევენცია
თავის ტვინის ანევრიზმის თავიდან აცილება ყოველთვის არ არის შესაძლებელი, მაგრამ მისი განვითარების/გასკდომის რისკი მცირდება მოწევის შეზღუდვით და არტერიული წნევის ნორმალურ დიაპაზონში შენარჩუნებით.
საჭიროების შემთხვევაში, დაუკავშირდით ნეიროქირურგ არჩილ ერისთავს:
Tel: +995 599820404
Email: contact@neurosurgeon.ge
NS